气管插管可以建立确切的人工气道,实现机械通气,被广泛应用于PCCM科(呼吸与危重症医学科)、急诊科、各类ICU、麻醉科、多种病房及院外的急救现场。
随着人口老龄化、呼吸系统疾病频发及外科手术的增多,气管插管术的应用也更加频繁。
气管插管术后咽喉痛是常见并发症,发生率高达60%-70%。该症状是由于术中咽喉及气道黏膜损伤所致,多种原因均可造成黏膜损伤:
喉镜置入过程:对咽喉黏膜机械性损伤
插管过程:气管导管与声门及咽后壁的
接触性损伤
气管导管套囊压力过大:造成气道黏膜
缺血坏死
同时清咽滴丸可通过炎症因子及免疫调节,达到抗炎及促进创面组织愈合的作用-1,对气管插管后黏膜损伤的修复具备一定功效。
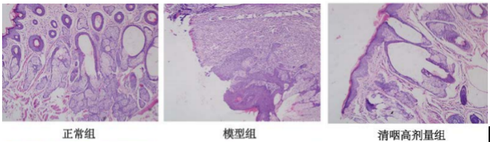
清咽滴丸对溃疡组织病理变化的影响[6]
(清咽滴丸组愈合后鳞状上皮完整、增厚,黏膜更接近疏松结缔组织)
参考文献:
[1] 梁家柱,柳根哲,雷仲民等.清咽滴丸治疗颈椎前路术后咽痛的临床观察[J].世界中医药,2016,11(09):1761-1765.
[2] 张晓敏杨宁彭雅雯黄英徐卉. 成年人全身麻醉气管插管术后咽喉痛防治的研究进展[J]. 国际麻醉学与复苏杂志, 2018, 039(009):900-904.
[3] Comparative efficacy of 6 topical pharmacologicalagents for preventive interventions of postoperativesore throat after tracheal intubation: a systematicreview and network meta-analysis. Anesth Analg 2021;133(1):58-67.
[4] 段淑红,鲍中英,刘梅生.清咽滴丸临床应用分析[J].中国误诊学杂志,2009,9(21):5125-5126.
[5] 刘剑,刘丽华,孟庆军,李晓眠,苏文琴,李晶哲.清咽滴丸抗常见呼吸道病毒的实验研究[J].中国药学杂志,2010,45(07):519-523.
[6] 陈卓,王金磊,庄朋伟等.清咽滴丸治疗大鼠口腔溃疡的实验研究[J].中草药,2016,47(01):106-109.
稿件来源:津药达仁堂销售
往期回顾